
Estado: Esperando
Un hemograma es un esquema que permite representar la composición de la sangre. Se trata de un cuadro, una tabla o un gráfico que expresa las cantidades y las proporciones de los diversos elementos sanguíneos (1). El contaje de células sanguíneas (CBC, por sus siglas en inglés) es la principal ...
Un hemograma es un esquema que permite representar la composición de la sangre. Se trata de un cuadro, una tabla o un gráfico que expresa las cantidades y las proporciones de los diversos elementos sanguíneos (1). El contaje de células sanguíneas (CBC, por sus siglas en inglés) es la principal prueba diagnóstica para la hematología y define la cantidad de glóbulos rojos (RBC), glóbulos blancos (WBC) y plaquetas (PLT) en una muestra. El hemograma proporciona también información sobre algunos parámetros físicos específicos de la población de RBC, que se
conocen como índices RBC.
Cada uno de estos tipos celulares sanguíneos realiza funciones fisiológicas vitales, por lo que determinar su número y características físicas puede proporcionar información sobre la salud, importante y significativa del paciente que se está evaluando. El análisis hematológico consiste en dos partes principales: una evaluación cuantitativa y otra cualitativa de la sangre (2). La evaluación cuantitativa de la sangre incluye un hemograma, que generalmente se realiza en un analizador de hematología automatizado o utilizando técnicas manuales (2-4.)
El hemograma completo clasifica, enumera y diferencia los tipos de células presentes en la sangre periférica (2). Esta evaluación cuantitativa proporciona los recuentos de las diferentes poblaciones celulares y los índices asociados, así como representaciones gráficas de los diferentes resultados cuando se realizan en un analizador automatizado 2. Los parámetros típicos que el hemograma proporciona en un informe se muestran en la Tabla 1. La evaluación de los parámetros de los leucocitos sirve para evaluar si hay evidencia de estrés, excitación, inflamación/infección, hipersensibilidad, neoplasia linfoide/ mieloide o problemas de la médula ósea. La evaluación de los parámetros de los glóbulos rojos sirve para detectar la presencia de anemia y eritrocitosis y, en algunas situaciones, se pueden detectar evidencias de la etiología. La evaluación de los parámetros de las plaquetas sirve para determinar si el recuento es más bajo de lo normal (trombocitopenia) o más alto de lo normal (trombocitosis). A menudo, esto es un signo de problemas médicos subyacentes o puede ser un efecto secundario de la administración crónica de medicamentos, lo que le da al veterinario indicaciones de que pueden ser necesarias pruebas adicionales para diagnosticar la causa.
El hemograma se puede complementar con la medición manual del hematocrito, que es el porcentaje del volumen de sangre que se compone de eritrocitos y es comparable al hematocrito calculado a partir de los resultados del hemograma automatizado (2). Idealmente, el hemograma debe ser parte de una base de datos mínima, junto con el análisis bioquímico de suero/plasma y un análisis de orina completo, de modo que los resultados puedan interpretarse juntos para proporcionar un diagnóstico de laboratorio completo (5). Es importante para complementar todo el diagnóstico laboratorial la evaluación cualitativa de la sangre, también conocida como evaluación del frotis sanguíneo.
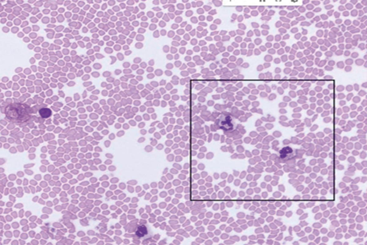
Los frotis sanguíneos se preparan con sangre recolectada en anticoagulante EDTA y se tiñen con tinciones de tipo Romanowsky a base de agua, siguiendo el protocolo del fabricante. A continuación, se examina el frotis de sangre teñido en busca de recuentos estimados y características morfológicas de las células sanguíneas.
¿Por qué realizar una evaluación de frotis de sangre?
La evaluación microscópica de un frotis sanguíneo es un procedimiento diagnóstico vital que se utiliza para verificar los resultados del analizador automatizado, fácilitandonos información sobre el recuento total y diferencial de glóbulos blancos y rojos y el recuento de plaquetas. También se usa para obtener información diagnóstica muy importante que los analizadores automatizados no pueden evaluar, como cambios significativos en la morfología celular, presencia de células anormales o inclusiones celulares (2,6). Estas anomalías morfológicas e inclusiones celulares pueden estar presentes incluso en pacientes con resultados cuantitativamente normales para todos los parámetros hematológicos. Idealmente, se debe examinar el frotis de sangre cada vez que se realice un hemograma (2).
La evaluación de los frotis sanguíneos complementa los recuentos hematológicos automatizados tanto en el punto de atención como en el laboratorio de referencia y debe realizarse regularmente con cada hemograma. Es especialmente importante para los animales enfermos y aquellos con anomalías hematológicas. Los frotis de sangre permiten que el veterinario confirme los resultados y garantice la calidad del análisis completo laboratorial. Así mismo, pueden proporcionar información adicional para guiar el diagnóstico y el tratamiento (6-9), proporcionando la capacidad de confirmar los resultados del hemograma automatizado al verificar los recuentos de RBC, WBC y plaquetas (4). Idealmente, siempre se debe realizar una evaluación del frotis sanguíneo como parte de cada hemograma, y es vital en las siguientes situaciones clínicas (2):
En dos encuestas realizadas en la Universidad Estatal de Michigan, se demostró que la frecuencia (%) de anemia era del 23% al 29% en perros y del 10% al 20% en gatos 7. En las mismas encuestas, del 5% al 15% de perros y del 7% al 60% de los gatos presentaron trombocitopenia (7). Estos son ejemplos de casos en los que siempre se debe realizar un frotis de sangre para confirmar anemia y/o recuentos bajos de plaquetas. Además, para los pacientes anémicos, la morfología celular puede ser tan importante para el diagnóstico como confirmar el número y la presencia de reticulocitos.
Alternativamente, la evaluación del frotis sanguíneo nunca debe utilizarse como reemplazo del contaje celular automatizado, ya que los analizadores, si se mantienen adecuadamente, son más precisos y exactos que el recuento manual de células. Los analizadores automatizados contarán varios miles de células de la sangre en una solución líquida, mientras que solo se analizan unos pocos cientos de células en el portaobjetos para la evaluación del frotis sabguíneo (4). En la Tabla 2 se muestran algunos ejemplos de los cambios morfológicos que se pueden apreciar en la evaluación del frotis sanguíneo (2-4).
Puede leer el artículo completo en el pdf adjunto
REFERENCIAS
1. Kahn C, Line S, eds. The Merck Veterinary Manual. 10th ed. Merck & Co, Inc.; 2010:1487-1492.
2. Villiers E. Introduction to Haematology. In: Villiers E, Ristic J, eds. BSAVA Manual of Canine and Feline Clinical Pathology. 3rd ed. British Small
Animal Veterinary Association; 2016:27-33.
3. Weiser G. Laboratory Technology for Veterinary Medicine. In: Thrall, MA, Weiser G, Allison RW, Campbell TW, eds. Veterinary Hematology
and Clinical Chemistry, 2nd ed. John Wiley & Sons, Inc; 2012:3-18.
4. Harvey JW. Hematology Procedures. In: Harvey JW. Veterinary Hematology: A Diagnostic Guide and Color Atlas. Saunders; 2012:16-18.
5. Barger AM. The complete blood cell count: a powerful diagnostic tool. Vet Clin North Am Small Anim Pract. 2003;33(6):1207-1222.
doi:10.1016/s0195-5616(03)00100-1
6. Zabolotzky SM, Walker DB. Peripheral blood smears. In: Valenciano SA, Cowell R. Cowell and Tyler´s Diagnostic Cytology and Hematology of
the Dog and Cat, 5th ed. Elsevier; 2019:438-467.
7. Weiss DJ, et al. The Complete Blood Count, Bone Marrow Examination, and Blood Banking. In: Willard MD, Tvedten H. Small Animal Clini-
cal Diagnosis by Laboratory Methods, 5e. 5th ed. Saunders; 2012:12-37
8. Stirn M, Moritz A, Bauer N. Rate of manual leukocyte differentials in dog, cat and horse blood samples using ADVIA 120 cytograms. BMC
Vet Res. 2014;10:125. doi:10.1186/1746-6148-10-125
9. Sharkey L, Heinrich D. In-clinic hematology: the blood film review. Today´s Veterinary Practice website. July/August 2015. Accessed No-
vember 16, 2021. https://todaysveterinarypractice.com/in-clinic-hematology-the-blood-film-review